EN
AR
Magnetic Resonance
large masthead veradius unity philips stille

A revolutionary workflow delivers MRI speed – and productivity

Philips MR Ingenia Prodiva 1.5T


Support your clinical decisions by leveraging our imaging solutions built on proven dStream digital broadband technology, present in over 2000 installations worldwide. Accelerate patient throughput with a simplified Breeze Workflow.

 

An intuitive user interface enhanced by highly guided and standardized examination procedures helps you perform routine MRI exams from day one. And with low installation and siting expenses, continuous uptime support and easy upgrades you can continue to enhance your possibilities.

    Need more information on Ingenia Prodiva?

    Request more information here and we will get in touch with you soon.

    Watch the trailer

    Prodiva trailer

    What your peers say about Ingenia Prodiva 1.5T

    Dr. Takahashi

    Dr. Takahashi, radiologist at the Seirei-Mikatahara General Hospital in Japan is sharing his experiences with the Ingenia Prodiva 1.5T MR system.

    Mrs. Silvia Schiffer

    Mrs. Silvia Schiffer, Director and Senior Radiologist at Radiologie Schiffer in Germany is sharing her experiences with the Ingenia Prodiva 1.5T MR system.

    Clinical cases from your peers with Ingenia Provida 1.5T

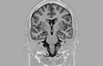
    Brain image

    Brain overview

    Spine image

    Lumbar Spine with mDIXON XD

    Brachial Plexus

    Brachial Plexus lesion

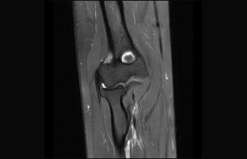
    Elbow image

    Elbow overview

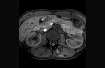
    Liver and pancreas

    Liver and Pancreas

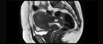
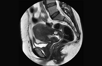
    Pelvis image

    Female Pelvis overview

    Breast lesion

    Breast lesion

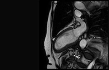
    Acute Myocardinal

    Acute myocardial infarction

    Downloads

    NetForum

    Download Ingenia Prodiva 1.5T ExamCards

    ExamCards image

    Ingenia Prodiva 1.5T CX brochure

    Accelerate patient throughput with a simplified Breeze workflow

    Prodiva CX brochure

    Ingenia Prodiva 1.5T CS brochure

    A revolutionary workflow delivers speed - and productivity

    Prodiva CS brochure

    An excellent fit to expand the imaging center - Ingenia Prodiva 1.5T


    Learn what the first users of Ingenia Prodiva 1.5T have to say about their experiences using the system and how it impacts their imaging center. 

    Ingenia Prodiva

    Related products

    Prodiva CX

    Ingenia Prodiva 1.5T CX


    Accelerate patient throughput with a simplified Breeze Workflow.

    Prodiva CS

    Ingenia Prodiva 1.5T CS


    A revolutionary workflow delivers speed – and productivity

    Compressed sense

    Compressed SENSE

    Up to 50% faster MR exams, so you can spend your time wisely

    3D APT

    3D APT

    Enhanced diagnostic confidence in neuro oncology

    Clinical Selector

    Clinical Selector

    Find the right clinical applications for your needs

    Coil selector

    Coil Selector

    See all Ingenia Prodiva 1.5T coils 

    *

    Contact information

    * This field is mandatory

    *
    *
    *
    *
    *
    *
    *
    *
    *

    By specifying your reason for contact we will be able to provide you with a better service.

    We work with partners and distributors who may contact you about this Philips product on our behalf.

    *
    *

    Final CEE consent

    1 Based on an internal study comparing workflow with the Achieva MR system

    2 ComforTone will be available with Prodiva 1.5T in Q4 of 2017

    3 Based on an internal study comparing workflow in a mix of brain, spine, MSK and body applications with the Achieva MR system

    4 Normal operation is defined as typical scanning performed with uninterrupted availability of electricity, magnet cooling and excluding service actions

    5 Dependent on contract entitlement and local availability

    6 Other MR refers to 60 cm 1.5T whole body MRI systems

    You are about to visit a Philips global content page

    Continue

    You are about to visit a Philips global content page

    Continue

    Our site can best be viewed with the latest version of Microsoft Edge, Google Chrome or Firefox.